Le Infezioni in Medicina, n. 1, 76-82, 2024
doi: 10.53854/liim-3201-10
ORIGINAL ARTICLES
Histopathologic and transmission electron microscopic findings in monkeypox cutaneous lesions
Consuelo Venturi1, Antonio Guadagno1, Serena Varesano2, Valentina Ricucci2, Nicola Nigro2, Antonio Di Biagio3, Matteo Bassetti4, Paolo Nozza5, Francesco Drago6, Aurora Parodi6, Giulia Ciccarese7
1Pathology Unit, IRCCS Ospedale Policlinico San Martino, University of Genoa, Genoa, Italy;
2Hygiene Unit, IRCCS Ospedale Policlinico San Martino, Genoa, Italy;
3Department of Specialist Medicine, Infectious Disease Clinic, IRCCS Ospedale Policlinico San Martino, Genoa, Italy;
4Department of Health Sciences, Division of Infectious Diseases, University of Genoa, Genoa, Italy;
5Pathology Unit, IRCCS Ospedale Policlinico San Martino, University of Genoa, Genoa, Italy;
6Section of Dermatology, DISSAL, University of Genoa, IRCCS Ospedale Policlinico San Martino, Genoa, Italy
7Unit of Dermatology, Department of Medical and Surgical Sciences, University of Foggia, Foggia, Italy;
Article received 30 August 2023, accepted 25 January 2024
Corresponding author
Giulia Ciccarese
SummaRY
Background: a few pathologic and ultrastructural findings of monkeypox skin lesions are available in the literature. To integrate such evidence, we aimed to describe the pathologic features of monkeypox skin lesions and to show monkeypox virions by transmission electron microscopy (TEM).
Methods: we studied the cutaneous biopsies of three patients affected by monkeypox during the 2022 monkeypox outbreak. Skin biopsies have been collected only from body sites with a recent laboratory-confirmed mpox virus infection, defined by a polymerase chain reaction (PCR) positive result in specimens taken through skin swabs.
Results: in all the samples the epidermis showed keratinocytes ballooning degeneration; perivascular/peri-adnexal infiltrates composed of neutrophils and lymphocytes were observed in the deep dermis. Immunohistochemistry showed that the infiltrate was mostly composed of CD3+ T-cells. TEM revealed monkeypox virus-like particles in various stages of morphogenesis in the dermis and epidermis; virions were interspersed among keratinocytes and within their cytoplasm. At the intracellular level, virions showed a biconcave-shaped central core, surrounded by lateral bodies and an external membrane; they also appeared as rectangular, brick-shaped, or oval particles with eccentric nucleoids. The histologic features of our skin samples confirmed the few other studies on this topic, except for the eosinophilic inclusions of the cytoplasm of keratinocytes (Guarnieri’s bodies).
Conclusion: the role of molecular biology is crucial for monkeypox diagnosis but when it is not disposable and/or in doubtful cases, skin biopsy and TEM may be helpful to establish the diagnosis.
Keywords: monkeypox virus infection, histopathology, transmission electron microscopy.
INTRODUCTION
Monkeypox virus is a DNA virus belonging to the genus Orthopoxvirus, family Poxviridae, subfamily Chordopoxvirinae that multiplies in the cytoplasm of the infected cells [1]. The identification of the virus dates back to 1958 when it was detected in captive monkeys. In 1970, it was recognized as a human pathogen transmitted from animals (especially rodents) to humans, responsible for the zoonotic disease known as monkeypox (mpox). Interhuman transmission is also possible and occurs through contact with biological fluids, lesions on the skin or mucous membranes, such as the mouth or genital/anal regions, droplets, and fomites [2].
Mpox causes signs and symptoms which can begin 1-21 days after exposure and continue for 2-4 weeks. Common signs/symptoms are skin eruption, fever, sore throat, headache, and swollen lymph nodes.
The two clades of the virus are clade I (Central African clade) with an estimated lethality of 10.6%, and clade II (West African clade) with a lethality of 3.6% [2, 3].
A systematic review published at the beginning of 2022 found a great increase in mpox cases since the 1970s, especially in the Democratic Republic of Congo, a spread outside Africa, and a growing median age [4].
In May 2022, an outbreak of mpox rapidly spread worldwide, affecting primarily men who have sex with men (MSM) and spreading person-to-person through sexual networks. In July 2022, the World Health Organization (WHO) declared this outbreak a public health emergency of international concern [2].
In the context of the 2022 global outbreak of mpox (mostly caused by the Clade II virus), the disease has some features different from the past presentation. The skin eruption appears before or at the same time as other systemic symptoms and does not always progress over the body. The lesions mainly consist of erythematous papules and/or vesicles and/or pustules in the anogenital area, which tend to evolve into crusts and ulcers [5, 6]. Cases of mpox mimicking other sexually transmitted infections and without detectable cutaneous/mucosal lesions have also been described [7, 8].
The number of mpox cases declined worldwide by the end of summer 2022, a decreasing trend probably associated with the reduction of social activities after summer, the broader understanding of the transmission of the infection, and the diffusion of monkeypox vaccination [5]. The mpox epidemiological updates were discontinued by the European Center for disease control and Prevention (CDC) in February 2023; conversely, the US CDC continued to notify the new monkeypox cases; especially after the emergence of a cluster affecting previously vaccinated persons during April-May 2023 in Chicago, a health alert was divulgated suggesting clinicians to be vigilant for mpox cases and prompting vaccination for persons at risk [9].
We previously described the clinical, laboratory, and histopathologic features, as well as the management, and clinical outcome of our mpox-infected patients during the 2022 outbreak [5]. While the clinical features have been largely described in other studies, the histopathologic characteristics of mpox skin lesions have been rarely reported and data on the ultrastructural findings are scant [3, 4, 6, 10-13]. To integrate such evidence, the purpose of the present study was to describe in detail the histopathologic features of mpox lesions and to show mpox virions in skin lesions by transmission electron microscopy (TEM).
MATERIALS AND METHODS
This study includes the patients with mpox diagnosed from July 1 until August 31, 2022, in the Units of Dermatology and Infectious Disease of the Polyclinic San Martino Hospital, Genoa, Italy, who underwent a 6 mm punch-biopsy of a mpox cutaneous lesion. Skin biopsies have been collected only from body sites with a recent laboratory-confirmed mpox virus infection, defined by a polymerase chain reaction (PCR) positive result in specimens taken through skin swabs.
Analysis of specimens collected through skin biopsies
Two pieces of each skin specimen were placed in neutral Phosphate buffered saline solution (PBS), buffered 2.5% glutaraldehyde, and fixed for at least 4 hours at room temperature. The tissues were postfixed in 1% OsO4 at 4°C overnight, dehydrated in graded ethanol and propylene oxide, and embedded in epoxy resin; then they were polymerized at 70 °C for 24 hours in an oven. Semi-thin 1-micron-thick sections were cut with knives and stained with toluidine blue. Ultrathin sections were achieved through a diamond knife (Diatome ultra 458) in a Leica ultramicrotome (Leica Reichert Ultracut S). The grids were analysed and images were acquired with a HITACHI 7800 Electron Microscope at 100kV in the Electron Microscopy Laboratory of the Pathology Unit, Polyclinic San Martino Hospital, Genoa, Italy.
The procedures followed were in accordance with the ethical standards of the responsible committee on human experimentation (regional) and with the Helsinki Declaration (1964, amended most recently in 2008) of the World Medical Association. Informed written patient consent was obtained for publication of this report.
RESULTS
We studied the skin biopsies of three out of 16 patients affected by mpox who consented to the execution of a skin biopsy on their mpox skin lesions. The skin biopsies have been performed on lesions located in the following body sites: perianal skin (erythematous eroded papule appeared 4 days earlier), abdomen (whitish pustule appeared 2 days before), and hand (erythematous pustule appeared 3 days earlier) (Figure 1). The patients had all male sex and had a median age of 36 years.

Figure 1 - The skin biopsies have been performed on lesions (highlighted by the red circles) located in the following body sites: perianal skin (erythematous eroded papule), abdomen (whitish pustule), and hand (erythematous pustule).
The histological figures that we show hereafter refer to the sample collected from the patient with perianal lesions; however, although the clinical morphology of the lesions was different, the histological expression of the tissue damage caused by the mpox virus infection was the same in all skin samples.
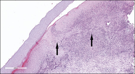
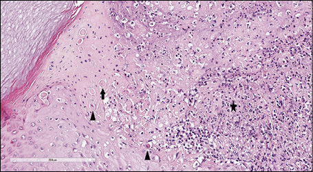
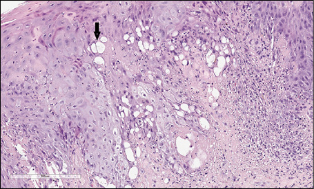
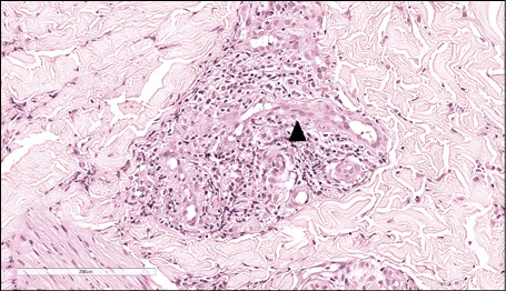
At scanning magnification, the histopathology showed a broad dermo-epidermal ulceration with an underlying purulent base (Figure 2). At higher magnification, the epidermis was characterized by necrotic keratinocytes with pycnotic nuclei and dense eosinophilic cytoplasm (Figure 3, arrowhead) and by scattered keratinocytes with a “shadow cell” appearance (enlarged cells with eosinophilic cytoplasm without well-defined nuclei [Figure 3, arrow]); suppurative changes were detected within the papillary dermis with marked neutrophilic exocytosis (Figure 3, asterisk). Some keratinocytes showed ballooning degeneration (Figure 4, arrow). An interstitial and perivascular/peri-adnexal inflammatory infiltrate composed of neutrophils and lymphocytes was observed in the deep dermis, associated with endothelial swelling (Figure 5, arrowhead) without fibrinoid necrosis of the vascular wall.

Figure 2 - Haematoxylin and eosin (H&E) stain. At scanning magnification (10x) the histopathology showed a broad dermo-epidermal ulceration with an underlying purulent base (arrows).

Figure 3 - Haematoxylin and eosin (H&E) stain. At higher magnification (40x), the epidermis was characterized by necrotic keratinocytes with pycnotic nuclei and dense eosinophilic cytoplasm (arrowhead) and by scattered keratinocytes with a “shadow cell” appearance (enlarged cells with eosinophilic cytoplasm without well-defined nuclei) (arrow); suppurative changes were detected in the papillary dermis characterized by marked neutrophilic exocytosis (asterisk).

Figure 4 - Haematoxylin and eosin (H&E) stain. The keratinocytes showed ballooning degeneration (arrow): keratinocytes appear swollen, pale, and round due to intra-cellular oedema and loss of intercellular bridges (magnification 40x).

Figure 5 - Haematoxylin and eosin (H&E) stain. An interstitial and perivascular/peri-adnexal inflammatory infiltrate composed of neutrophils and lymphocytes was observed in the deep dermis, associated with endothelial swelling (arrowhead) without fibrinoid necrosis of the vascular wall (magnification 40x).
Immunohistochemistry showed that the dermal inflammatory infiltrate, underlying the ulceration, was composed mostly of CD3+ T-cells, with CD4+ and CD8+ T cells in a balanced quantity and a diffuse pattern; rare CD20+ B lymphocytes were also detected (data not shown).
In all three skin specimens, TEM revealed monkeypox virus-like particles in various stages of morphogenesis both in the dermis and epidermis; virions were interspersed among keratinocytes near the collagen fibers (extracellular location) and within the cytoplasm of keratinocytes (intracellular location).
At the epidermal-dermal extracellular level, TEM analysis demonstrated viral particles with an electron-dense core and a surface characterized by inhomogeneously or evenly distributed protrusions (“threads”) near the collagen fibers (Figure 6).
At the epidermal intracellular level (keratinocytes), virions showed a biconcave-shaped central core, surrounded by lateral bodies and an external membrane with typical threads (Figure 7A); they also appeared as rectangular, brick-shaped particles (Figure 7B) or as oval particles with eccentric nucleoids like “frog spawns” (Figure 7C).
Intracellular viral particles were in different maturation phases and their size ranged from 140 to 260 nm in diameter.

Figure 6 - Transmission electron microscopy. Epidermal-dermal extracellular environment: viral particles with an electron-dense core (yellow arrow) and a surface characterized by inhomogeneously (A, red arrow) or evenly distributed protrusions “threads” (B, red arrow) near the collagen fibers (magnification: 50000x [A], 30000x [B]).

Figure 7 - A) Transmission electron microscopy. Epidermal intracellular environment (keratinocytes): virions showed a biconcave-shaped central core (yellow arrow), surrounded by lateral bodies and an external membrane with typical threads (red arrow), magnification 30000x; virions also appeared as rectangular, brick-shaped particles (B, yellow arrow), magnification 15000x, or as oval particles with eccentric nucleoids like “frog spawns” (C, yellow arrow), magnification 10000x.
DISCUSSION
Beyond routine haematoxylin-eosin histologic examinations, special diagnostic techniques allow a further examination of skin samples to highlight particular morphological and functional alterations. Morphological analytic techniques that represent valuable diagnostic tools in dermatology are TEM, 1-micron section analysis, x-ray probe microanalysis, and digital image analysis; among the functional analytic techniques, there are immunofluorescence, immunohistochemistry, and molecular biologic techniques. TEM uses transmitted electrons (electrons that are passing through the sample) provided by an electron source to create an image. As a result, it offers valuable information on the inner structure of the sample, such as crystal structure, morphology, and stress state information. TEM sample preparation is a quite complex procedure that only trained and experienced operators can follow successfully; therefore, it is hardly more available than PCR. The samples for TEM need to be very thin, and as flat as possible, and the preparation technique should not introduce any artifacts (such as precipitates or amorphization) to the sample. Nonetheless, TEM, if available, can show the viral particles and confirm the clinical/molecular diagnosis in doubtful cases [14].
The first description of the histopathologic and TEM findings of monkeypox in humans dates back to 1985 when Stagles et al. described the features of a single monkeypox lesion of the skin taken post-mortem from a child who died after a five-day disease. The authors found epidermal necrosis, hyperplasia, intracellular oedema, and eosinophilic inclusions of the cytoplasm (Guarnieri’s bodies); changes in the dermis consisted of minimal oedema and mild perivascular infiltration by small lymphocytes. Electron microscopy showed multiple immature and mature viral particles in the cytoplasm of the epidermal infected cells [11].
In 2005, Bayer-Garner reported a detailed description of three skin samples from patients with monkeypox, confirming the previous histologic and TEM features and adding the follicular involvement of the inflammatory infiltrate [11, 15].
Histological and TEM studies related to the 2022 monkeypox outbreak are few.
In January 2023, Rodrıguez-Cuadrado et al. described in 20 cases histological features similar to those previously mentioned [12].
Shortly thereafter, Witt A. et al. exhaustively evaluated the ultrastructural features of different steps of the mpox virus life cycle by TEM describing different morphologies: the intracellular mature virus, the cell-associated enveloped virus, and the extracellular enveloped virus [13].
Very recently, Moltrasio C. et al. found that the most prominent findings of the skin lesions related to human mpox infection were epidermal necrosis with areas of non-viable keratinocytes and the “shadow cell” appearance (features referable to a pustular stage); the cytopathic modifications consisted of ballooning keratinocytes, Guarnieri’s bodies and ground glass appearance of the keratinocytes’ nuclei. TEM analysis showed viral particle aggregates in the cytoplasm of keratinocytes, without any involvement of the nucleus. Interestingly, viral particles in infected mesenchymal cells were detected [16].
Intertriginous petechial patches corresponding to histological eccrine squamous syringometaplasia have been rarely described in some cases of mpox [17]. However, these clinical and histological features were not present in our cases.
The histologic features of our skin samples confirmed the previous findings except for Guarnieri’s inclusion bodies [12, 15], which were not detectable in our skin samples.
One of the 3 skin samples analysed in the present study was collected from a perianal lesion of a patient who had a concomitant anal infection by high-risk human papillomavirus (HPV), genotype 16, which was detected with ThinPrep liquid-based cytology preparation system [18]. However, in cutaneous and mucosal tissues the histological and TEM features of HPV infection are very different from those of mpox, and especially HPV viral particles can be found in both nuclei and cytoplasm of keratinocytes while mpox viral particles were not detected at nuclear level [12, 16, 19]. Therefore, we attributed the histological changes and the viral particles found in this sample only to mpox infection.
Our TEM features agree with those of Rodrıguez-Cuadrado et al.: the intracellular monkeypox virus-like particles with different shapes (biconcave, rectangular, or ovoidal, based on the virus orientation in the sectioned samples) and the extracellular rounded virions are considered mature viral forms [12]. However, the rounded particles without visible core, considered as immature virions still in formation, were not found in our skin samples [12].
The histopathological changes occurring in Orthopoxvirus infections make it difficult to distinguish between different species [20].
Conversely, it is possible to distinguish Orthopoxviruses from viruses of other species, for example, Herpesviruses, histologically. Herpesvirus cytopathic damage of the keratinocytes consists of paleness and ballooning degeneration, ‘‘steel grey’’ aspect of the nuclei with chromatin margination, and eosinophilic nuclear inclusions; contrariwise, eosinophilic inclusion bodies (Guarnieri’s bodies) in Orthopoxvirus infections do not take place in the nuclei but in the cytoplasm of infected keratinocytes [11, 12]. In TEM studies, Herpesviruses show a dense core and a hexagonal capsid covered by a multilayer proteic coat, as described by Drago et al. in skin samples from patients with pityriasis rosea [21-23].
In conclusion, considering the many differential diagnoses that some cases of mpox may simulate and the importance of outbreak traceability, skin biopsies, and TEM may help avoid misdiagnoses.
Undoubtedly, molecular biology has a crucial role in rapid and non-invasive diagnosis. However, when PCR is not available and in doubtful cases, procedures such as skin biopsy and TEM may help confirm the diagnosis and improve clinical management and patient care.
Dermatologists and pathologists should recognize the clinical and histopathological features of mpox in the skin and mucous membranes as they have an important role in establishing a definite diagnosis.
Conflict of interest
None to declare.
Funding
None.
[1] Hughes AL, Irausquin S, Friedman R. The evolutionary biology of poxviruses. Infect Genet Evol. 2010; 10(1): 50-59.
[2] World Health Organization. Mpox (monkeypox). Available at: https://www.who.int/news-room/fact-sheets/detail/monkeypox [accessed January 10, 2024].
[3] Farahat RA, Sah R, El-Sakka AA, et al. Human monkeypox disease (MPX). Infez Med. 2022; 30(3): 372-391.
[4] Bunge EM, Hoet B, Chen L, et al. The changing epidemiology of human monkeypox-a potential threat? A systematic review. PLoS Neglected Trop Dis. 2022; 16(2): e0010141.
[5] Ciccarese G, Di Biagio A, Bruzzone B, et al. Monkeypox outbreak in Genoa, Italy: clinical, laboratory, histopathologic features, management, and outcome of the infected patients. J Med Virol. 2023; 95(2): e28560.
[6] Guarducci G, Porchia BR, Lorenzini C, Nante N. Overview of case definitions and contact tracing indications in the 2022 monkeypox outbreak. Infez Med. 2023; 31(1): 13-19.
[7] Ciccarese G, Di Biagio A, Drago F, et al. Monkeypox virus infection mimicking primary syphilis. Infez Med. 2023; 31(1): 113-115.
[8] Ciccarese G, Brucci G, Di Biagio A, et al. Two cases of Monkeypox virus infection without detectable cutaneous/mucosal lesions. Travel Med Infect Dis. 2023; 54: 102605.
[9] US CDC monkeypox cluster in Chicago in April-May 2023. Available at: https://w.cdc.gov/mmwr/volumes/72/wr/mm7225a6.htm#:~:text=During%20April%2017%E2%80%93May%205,single%20case%20had%20been%20reported [accessed August 27, 2023].
[10] Thornhill JP, Barkati S, Walmsley S, et al. Monkeypox virus infection in humans across 16 countries - April-June 2022. N Engl J Med. 2022; 387(8): 679-691.
[11] Stagles MJ, Watson AA, Boyd JF, et al. The histopathology and electron microscopy of a human monkeypox lesion. Trans R Soc Trop Med Hyg. 1985; 79(2): 192-202.
[12] Rodríguez-Cuadrado FJ, Nájera L, Suárez D, et al. Clinical, histopathologic, immunohistochemical, and electron microscopic findings in cutaneous monkeypox: A multicenter retrospective case series in Spain. J Am Acad Dermatol. 2023; 88(4): 856-863.
[13] Witt ASA, Trindade GS, Souza FG, et al. Ultrastructural analysis of monkeypox virus replication in Vero cells. J Med Virol. 2023; 95(2): e28536.
[14] Jaworsky C, Murphy GF. Special techniques in dermatology. Arch Dermatol. 1989; 125(7): 963-74.
[15] Bayer-Garner IB. Monkeypox virus: histologic, immunohistochemical and electron-microscopic findings. J Cutan Pathol. 2005; 32(1): 28-34.
[16] Moltrasio C, Boggio FL, Romagnuolo M, et al. Monkeypox: A Histopathological and Transmission Electron Microscopy Study. Microorganisms. 2023; 11(7): 1781.
[17] Roy SF, Sarhan J, Liu X, et al. Inguinal patch in mpox (monkeypox) virus infection and eccrine syringometaplasia: report of two cases with in situ hybridization and electron microscopy findings. Br J Dermatol. 2023; 188(4): 574-576.
[18] Ciccarese G, Herzum A, Pastorino A, et al. Prevalence of genital HPV infection in STI and healthy populations and risk factors for viral persistence. Eur J Clin Microbiol Infect Dis. 2021; 40(4): 885-888.
[19] Broich G, Sasaki T. Electron microscopic demonstration of HPV in oral warts. Microbiologica. 1990; 13(1): 27-34.
[20] Smith KJ, Skelton H. Molluscum contagiosum: recent advances in pathogenic mechanisms, and new therapies. Am J Clin Dermatol. 2002; 3(8): 535-545.
[21] Blank H, Davis C, Collins C. Electron microscopy for the diagnosis of cutaneous viral infections. Br J Dermatol. 1970; 83: 69-80.
[22] Drago F, Malaguti F, Ranieri E, Losi E, Rebora A. Human herpes virus-like particles in pityriasis rosea lesions: an electron microscopy study. J Cutan Pathol. 2002; 29(6): 359-361.
[23] Drago F, Ciccarese G, Merlo G, Trave I, Javor S, Rebora A, Parodi A. Oral and cutaneous manifestations of viral and bacterial infections: Not only COVID-19 disease. Clin Dermatol. 2021; 39(3): 384-404.